Aplastic Anemia
Aplastic Anemia
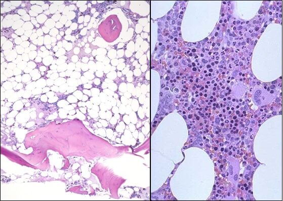
In this disease, the bone marrow which normally forms all blood cells does not function and the patient suffers due to lack of red cells, white cells and platelets.
This is a serious disease and can affect all ages,
though young people are commonly affected.
The only reliable remedy is stem cell transplantation from a blood relative or from cord cells.
There are other less effective remedies also like ATG therapy. In our country most patients can afford neither of these and simply take blood transfusions to stay alive.
Related articles
Article Links
Introduction to Blood Vaccinations In Adults Lessons From The Covid-19 Pandemic Anemia in a Nutshell Iron Deficiency Anemia Anemia is not always a simple problem Aplastic Anemia Sickle Cell Anemia Nutrition and Anemia Pregnancy and Anemia Diet and Anemia Bone Health Matters Blood Problems From Birth Curable Cancers Are There Cancer in Children Blood Cancer Blood Cancer in Children Why Do Some People Bleed More? Know Your Platelets Platelet Problems When Blood Clots Too Much Thalassemia In India Stem Cell Therapy More About Stem Cell Therapy Stem Cell Treatments : Facts Should You Store Baby’s Cord Cells? What Is Bone Marrow Test? All You Wanted To Know About A Bone Marrow Test Blood Donation : The gift of life Preventive Check Ups: Of Course Or May Be?Related articles
Anemia may be there because the body may be destroying blood which is formed or there could be a problem called Aplastic Anemia.
This is rare type of anemia where the red cells assume a sickle shape inside the blood vessels.
The mild form is more common and usually there is only mild anemia.